Infezioni Protesiche

L’infezione peri-protesica rappresenta una tra le complicanze più temute e preoccupanti in seguito all’intervento chirurgico di sostituzione protesica. Le infezioni peri-protesiche gravano in modo importante sulla sanità pubblica in termini di mortalità (1-3%) e costi economici. Da una parte si assiste a una riduzione dell’incidenza relativa di complicanze infettive negli interventi di chirurgia ortopedica nell’ultimo decennio, grazie all’ottimizzazione dei tempi chirurgici, alle norme di sterilità osservate in sala operatorie e alla profilassi antibiotica peri-operatoria, dall’altra parte vi è un incremento in termini assoluti delle infezioni protesiche, dovuto alla crescita del numero di protesi impiantate annualmente, con una percentuale di infezioni che si attesta tra 1.5-2% per le protesi di anca e tra 2.5 e 5% per le protesi di ginocchio.

Una sfida per il Chirurgo Ortopedico e il Medico Infettivologo

Le infezioni peri-protesiche costituiscono pertanto un argomento estremamente attuale e una sfida per il Chirurgo Ortopedico e per il Medico Infettivologo, rappresentando una patologia di nicchia, di difficile e delicata gestione, che necessita di essere trattata in centri Multidisciplinari altamente specializzati, che siano in grado di eseguire un adeguato e attento inquadramento diagnostico e un corretto e tempestivo trattamento Chirurgico Ortopedico. Il nostro centro si avvale delle più recenti acquisi

zioni in ambito diagnostico come il dosaggio dell’alfa-defensina su liquido sinoviale e l’identificazione dei patogeni responsabili tramite metodiche di biologia molecolare come la Real Time- Polymerase Chain Reaction (RT-PCR).

Fattori di rischio per l’insorgenza di infezioni peri-protesiche

I fattori di rischio nell’insorgenza delle infezioni peri-protesiche sono molteplici:

Fattori generali

  • Obesità (BMI > 30)
  • Età avanzata
  • Artrite reumatoide
  • Alcolismo
  • Tabagismo
  • Malattie neoplastiche
  • Immunodeficienze (congenite o acquisite)
  • Sesso femminile
  • Stato nutrizionale del paziente
  • Patologie dismetaboliche (DM)

Fattori locali

  • Focolai settici dentari/urinari/respiratori
  • Ospedalizzazione prolungata
  • Voluminosi ematomi post-operatori
  • Persistente drenaggio della ferita chirurgica
  • Precedenti interventi chirurgici nella stessa sede anatomica
  • Durata dell’intervento chirurgico
  • Vasculopatia periferica

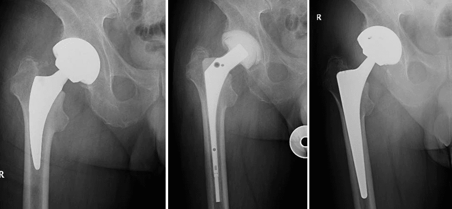
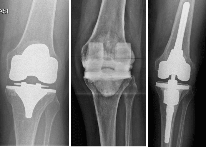
Classificazione delle infezioni peri-protesiche

Una infezione può essere inoltre classificata sulla base del criterio temporale in acuta/precoce o ritardata/cronica. Si definisce una infezione acuta/precoce quando essa si verifica entro le 4 settimane dall’intervento di impianto protesico o dalla comparsa dei segni indicativi di infezione; in questo caso è possibile procedere con un intervento chirurgico chiamato DAIR (Debridement Antibiotic therapy Irrigation implant Retention). Oltre le 4 settimane dall’impianto protesico o dalla comparsa clinica di infezione ci troviamo di fronte ad una infezione ritardata o cronica/tardiva; in tal caso la scelta di trattamento ricadrà su un approccio chirurgico più invasivo di revisione protesica one-stage o two-stage. La scelta tra i due approcci verrà effettuata sulla base di molteplici criteri: microbiologici e clinici, relativi alla situazione infettiva attuale e alle caratteristiche generali del paziente, prendendo in considerazione diversi parametri, tra cui età, situazione dei tessuti molli, presenza di eventuali difetti ossei, condizione sistemica del paziente e comorbidità associate.

Il trattamento DAIR

L’intervento chirurgico di DAIR (Debridement Antibiotic therapy Irrigation implant Retention) consiste nella bonifica accurata dei tessuti, l’esecuzione di prelievi colturali intraoperatori, seguita dalla sostituzione delle componenti mobili (inserti, testina) con conservazione delle componenti protesiche osteointegrate/cementate, a cui si associa una terapia antibiotica mirata prolungata. Esso rappresenta una valida opzione nelle infezioni peri-protesiche precoci. Risulta tanto più efficace quanto più il tempo intercorso tra la comparsa dei sintomi e il trattamento chirurgico è breve, se è presente un isolamento microbiologico e se il germe risulta sensibile agli antibiotici.

La revisione one-stage

La revisione one stage consiste nella rimozione delle componenti protesiche precedentemente impiantate, seguita da una accurata bonifica dei tessuti, prelievi intraoperatori per esami colturali e l’immediato reinserimento di una nuova protesi nello stesso intervento chirurgico. Verrà quindi avviata un

a terapia antibiotica mirata sulla base degli isolamenti microbiologici agli esami colturali.

La revisione two-stage

La revisione two stage rappresenta il gold standard per il trattamento delle infezioni periprotesiche croniche. Essa consiste nella rimozione delle componenti protesiche precedentemente impiantate, seguita da una accurata bonifica dei tessuti, prelievi intraoperatori per esami colturali e inserimento di uno spaziatore antibiotato, a cui verrà associata una terapia antibiotica mirata sulla base degli isolamenti microbiologici agli esami colturali. Costituisce l’opzione più valida e sicura nei casi di infezione peri-protesica difficile da trattare sia per motivi legati al germe patogeno resistente o difficile da isolare, sia per difficoltà dal punto di vista ricostruttivo a causa di importante perdita ossea e/o mio-cutanea. Il doppio tempo chirurgico rappresenta un’ottima soluzione per bonificare in maniera adeguata il sito infetto, consentendo al paziente di mantenere una buona qualità di vita, grazie allo spacer articolato che vicaria la funzione della protesi, e permettendo al chirurgo di pianificare in maniera ottimale il tempo del reimpianto.

Il nostro centro: un’eccellenza nella gestione delle infezioni peri-protesiche

Il nostro centro rappresenta una eccellenza in Italia per la gestione di tale patologia, grazie ad una stretta collaborazione in equipe tra Infettivologi specializzati e Chirurghi Ortopedici con una esperienza pluri-decennale in questo ambito (Bone Unit Infection). Inoltre, ci avvaliamo dei più moderni strumenti diagnostici sui campioni sieroematici e sinoviali per un rapido inquadramento diagnostico, al fine di una rapida ed efficace diagnosi microbiologica, che permette l’avvio al trattamento corretto, farmacologico antibiotico e chirurgico.

Dettagli

Contatti