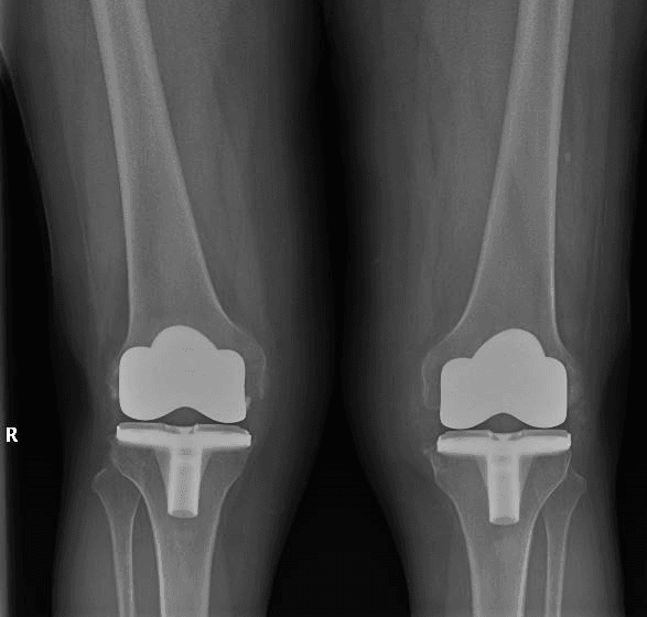
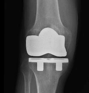
L’intervento di artroprotesi di ginocchio prevede la sostituzione chirurgica del femore distale e della tibia prossimale con protesi metalliche, associate a materiali plastici e/o ceramici. Quando necessario, si può includere anche la protesizzazione della rotula. Lo scopo principale di questa procedura è ripristinare un’articolazione stabile e funzionale, migliorando la capacità di movimento del paziente e alleviando il dolore, con conseguente miglioramento della qualità della vita.
Negli ultimi dieci anni, il numero di interventi di sostituzione protesica del ginocchio è aumentato significativamente, quasi eguagliando quello delle sostituzioni d’anca. Secondo il Registro Italiano Artroprotesi (RIAP), in Italia si effettuano circa 27.000 interventi di sostituzione primaria del ginocchio ogni anno.
Le principali indicazioni per l’intervento includono:
Oggi sono disponibili diversi tipi di protesi, adattabili alle varie esigenze funzionali dei pazienti e ai diversi scenari osseo-legamentosi. Per le protesi totali si distinguono in generale impianti con conservazione (Cruciate Retaining – CR) o sacrificio (Posterior Stabilized – PS) del legamento crociato posteriore, con ulteriori sottogruppi di inserti a seconda delle necessità del paziente e della tecnica di impianto adottata. Per situazioni più complesse o per revisioni protesiche si possono utilizzare impianti semivincolati o a cerniera.
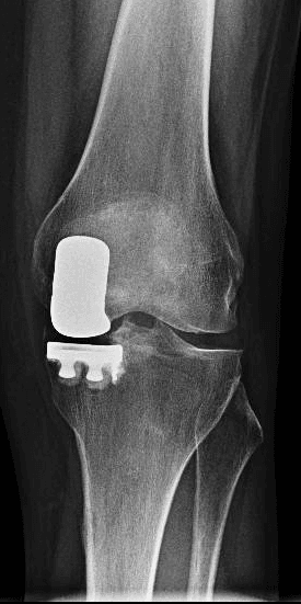
In caso di artrosi localizzata a un solo comparto del ginocchio, si preferisce l’uso di protesi monocompartimentali femoro-tibiali o femoro-rotulea, mantenendo intatte le componenti legamentose e le superfici cartilaginee non affette da artrosi.
L’artroprotesi consente un rapido recupero funzionale, con una veloce ripresa della deambulazione e il ripristino di una buona autonomia nei primi giorni post-operatori. Il protocollo del nostro centro prevede l’inizio della riabilitazione fisioterapica con personale specializzato il pomeriggio stesso dell’intervento o il primo giorno post-operatorio.
La riabilitazione fisiochinesiterapica mira, in base all’età e alle comorbidità del paziente, al recupero della forza muscolare, della mobilità articolare, della coordinazione e della corretta deambulazione, obiettivi tanto più impegnativi quanto più compromessa era la situazione dell’arto prima dell’intervento.
L’intervento di sostituzione totale o parziale del ginocchio è attualmente un intervento sicuro ed efficace nel ripristinare l’autonomia del paziente affetto da gonartrosi avanzata. Combinando la più appropriata scelta di impianto, di tecnica operatoria e di riabilitazione pre e post-intervento, i pazienti possono ottenere un recupero completo e costante nel tempo.