Artriti Settiche

Con il termine di artrite settica si intende un’infezione dolorosa che coinvolge le articolazioni, prevalentemente di origine batterica, ma talvolta derivante da virus, micobatteri o funghi. L’articolazione interessata si presenta dolente, sensibile al tatto, spesso arrossata e gonfia. In alcuni casi è possibile la comparsa di un tramite tra la cute e articolazione interessata (fistola).

Classificazione delle artriti settiche

Le artriti settiche possono essere stadiate secondo la classificazione di Gächter che prende in considerazione l’aspetto artroscopico dell’ambiente articolare interessato e le eventuali alterazioni alla radiologia tradizionale. Tale classificazione si suddivide in quattro stadi con gravità crescente come segue:

  • Stadio I: Sinovia torbida, arrossamento della membrana sinoviale; possibili sanguinamenti petecchiali, nessuna variazione radiologica.
  • Stadio II: Grave infiammazione con deposito/sedimento di fibrina; pus; nessuna variazione radiologica.
  • Stadio III: Ispessimento della membrana sinoviale; formazione di compartimento (immagine di spugna bagnata soprattutto nel recesso rotuleo); nessuna variazione radiologica.
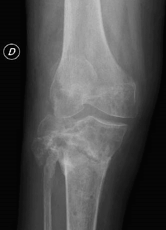
  • Stadio IV: Formazione aggressiva di panno sinoviale con infiltrazione ed eventuale compromissione della cartilagine; radiologicamente evidenza di osteolisi subcondrale; formazione di erosioni ossee e cisti.

Conseguenze della mancata diagnosi e trattamento

Se non diagnosticata e trattata tempestivamente, l’artrite settica può provocare danni permanenti alle superfici articolari, con rapida distruzione della cartilagine e compromissione dell’osso subcondrale, manifestandosi clinicamente con gravi limitazioni funzionali.

Approccio al trattamento nel nostro centro

Nel nostro centro, grazie a una collaborazione decennale tra infettivologi specializzati e chirurghi ortopedici (Bone Infection Unit), utilizziamo i più moderni strumenti diagnostici, sierologici, sinoviali e microbiologici per una rapida identificazione dell’infezione articolare e del conseguente trattamento, sia farmacologico con antibiotici che chirurgico (artroscopico, bonifica open o trattamento sostitutivo articolare in due tempi).

Dettagli

Contatti